Radiology Services for Pets
in Central Virginia
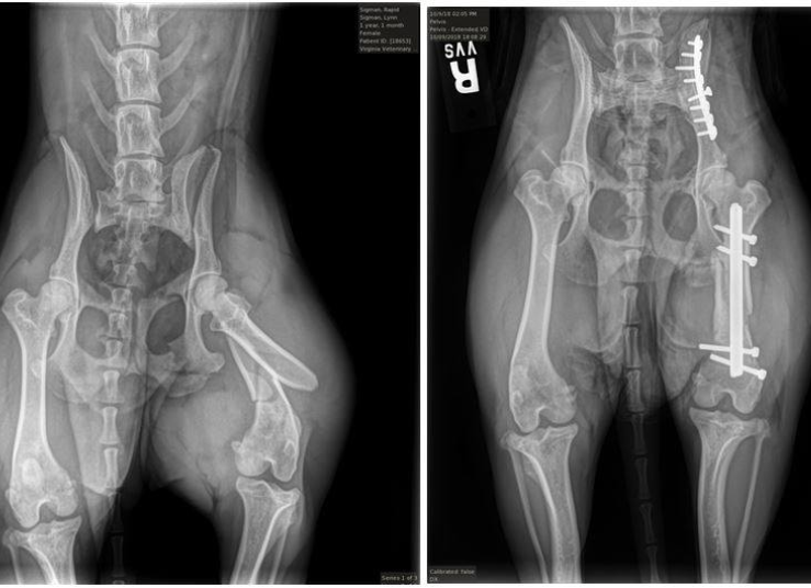
At Preddy Creek Animal Clinic, our radiology services allow us to look beneath the surface to diagnose a wide range of health conditions quickly and accurately. With our modern, on-site digital X-ray technology, we can capture high-quality images that help our veterinarians make informed decisions about your pet’s health and treatment plan.
Advanced Digital X-Ray Technology
Our state-of-the-art radiology equipment produces clear, detailed images of your pet’s internal structures — including bones, joints, chest, and abdomen. These digital radiographs can detect fractures, foreign objects, tumors, heart or lung disease, and other abnormalities that might not be visible during a physical exam. Because the images are digital, results are available within minutes, enabling our team to begin diagnosis and treatment without delay.
Safe and Comfortable for Your Pet
We understand that pets may feel anxious during medical procedures, which is why our team takes extra care to ensure every X-ray is performed safely and comfortably. Our trained staff uses gentle restraint techniques and, when needed, mild sedation to minimize stress and movement — ensuring the most accurate results possible while keeping your pet at ease.
Fast Results and Collaborative Care
Having advanced radiology capabilities in-house means we can provide same-day results and timely treatment recommendations. If necessary, digital images can also be shared with board-certified radiologists or specialists for further consultation. This collaborative approach ensures that your pet receives the most precise diagnosis and comprehensive care available.

